Toggle navigation
ADA ACCESSIBLE WEBSITE
Home
Our Dentists
Smile Gallery
Services
Financing
FAQs
Contact Us
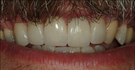
5 FRONT PORCELAIN VENEERS
Patient is smiling bigger and better than ever.
Back to Gallery