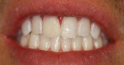
1 PORCELAIN VENEER, COMPOSITE


BONDING, AND TEETH WHITENING

The after photos were taken 5 years after surgery.

Before
After
Before
After