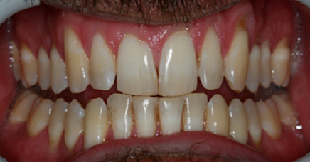
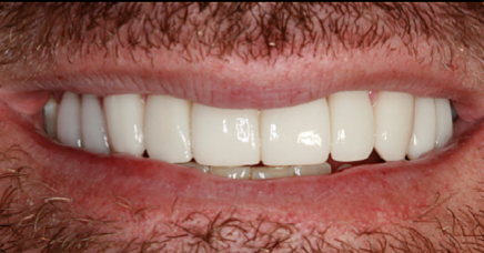
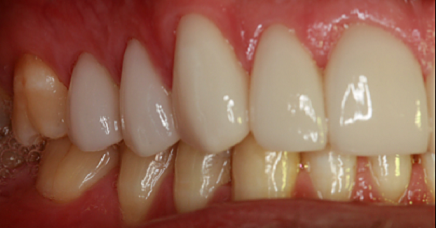
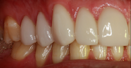
10 MINIMAL PREPARATION
PORCELAIN VENEERS
Provided our patient confidence with a brand new smile and have
had no issues 4 years later!